I been gone lately. I dunno how long, but i was homeless till a family memer took me in, then i got my place with some roommates and i was told i was going to be hired for a good paying job, i just needed to take in the ss card and attend orientation....
Then 9/11 came. Such a good day even though i spent some time remembering horrible things and watching footage. I went to work, came home and i broke my arm.
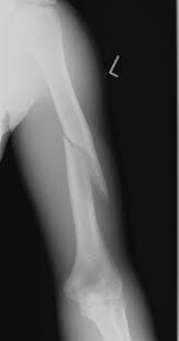
Humerus Mid-Shaft Fracture.
it looks like this...but this isnt my arm.
it's been 2wks now, n i finally dont get much pain and i found out i don't need surgery, i just have to wait it out in a brace n sling.
They take like 4-8 wks to heal.
I broke it by arm wrestling. I started to lose at first at a 45 degree angle, apparently he turned my bone one way, n then we didnt really meet at a 90 degree angle. i started to push way past it and not meeting at that 90 degree angle didnt let my bone rest in place. As i was about a 45 degree angle i pushed my hardest and the torque and all that snapped it in half.
The ppl watching it described the sound like a broom hitting a tile floor. n my arm completely, went the way he was pushing, even though he didnt push it once he heard the snap.
My life right now is ps3, movies, texting n doctor visits.
My friend is begging me to look for "sympathy pussy" "best pussy on the market." lol
anyway,
It really sux not being able to go out much or do much. i never broke a bone before. =/
Not much has changed here. lol but glad to see it still up.
Then 9/11 came. Such a good day even though i spent some time remembering horrible things and watching footage. I went to work, came home and i broke my arm.
Humerus Mid-Shaft Fracture.
it looks like this...but this isnt my arm.
it's been 2wks now, n i finally dont get much pain and i found out i don't need surgery, i just have to wait it out in a brace n sling.
They take like 4-8 wks to heal.
I broke it by arm wrestling. I started to lose at first at a 45 degree angle, apparently he turned my bone one way, n then we didnt really meet at a 90 degree angle. i started to push way past it and not meeting at that 90 degree angle didnt let my bone rest in place. As i was about a 45 degree angle i pushed my hardest and the torque and all that snapped it in half.
The ppl watching it described the sound like a broom hitting a tile floor. n my arm completely, went the way he was pushing, even though he didnt push it once he heard the snap.
My life right now is ps3, movies, texting n doctor visits.
My friend is begging me to look for "sympathy pussy" "best pussy on the market." lol
anyway,
It really sux not being able to go out much or do much. i never broke a bone before. =/
Not much has changed here. lol but glad to see it still up.



